Лабораторная работа: как сделать бизнес на цифровой диагностике онкозаболеваний
Рост числа онкобольных в мире заставляет ученых искать новые способы лечения, но, пока волшебная таблетка не найдена, залогом успеха в борьбе с раком остается ранняя и точная диагностика.

Мы начали с попытки оцифровать уже существующие технологии онкодиагностики и снизить вероятность ошибки, — говорит основатель лаборатории UNIM Алексей Ремез, проходя по коридорам технопарка «Сколково» в лабораторию. — Теперь вам придется надеть бахилы. Хотя доказано, что с точки зрения санитарных норм это совершенно бесполезная вещь, мы должны следовать требованиям, предъявляемым к медицинским учреждениям». Созданная Ремезом компания UNIM разрабатывает программное обеспечение для диагностики рака и создает единую цифровую лабораторию.
Мудрый совет
В декабре 2011 года выпускник инженерного факультета Волгоградского государственного архитектурно-строительного университета Алексей Ремез задумал продолжить образование. «Я уже занимался бизнесом, но хотел найти более интересную сферу», — рассказывает он. Благодаря происхождению Ремез выбрал Хайфский университет в Израиле, предлагавший полугодовой курс бизнес-образования. Совет одного из преподавателей, бизнес-психолога Яна Зусмана искать работу на стыке медицины и технологий показался тогда Ремезу по меньшей мере странным. «После окончания курса по бизнесу я был невероятно далек от медицины», — говорит он.
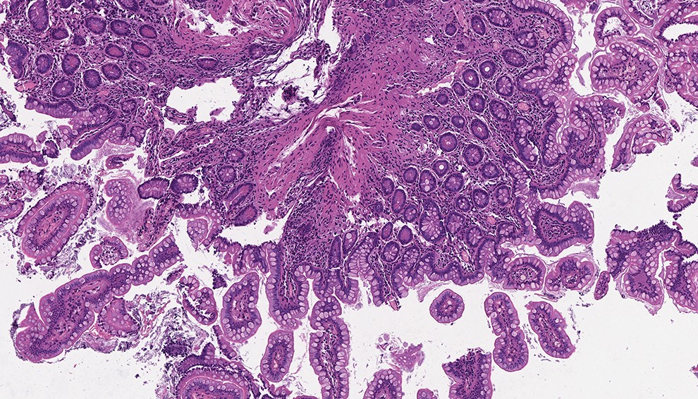
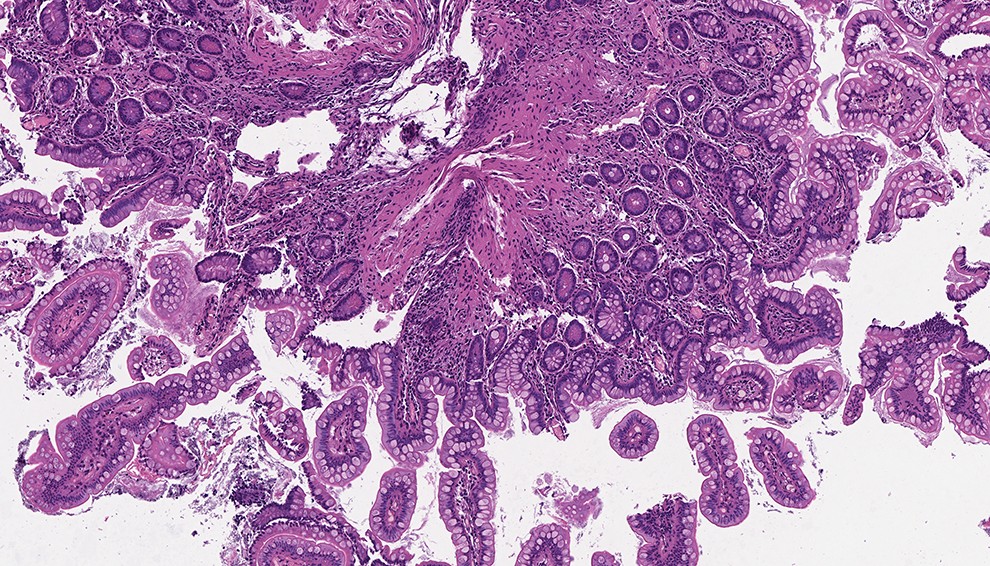
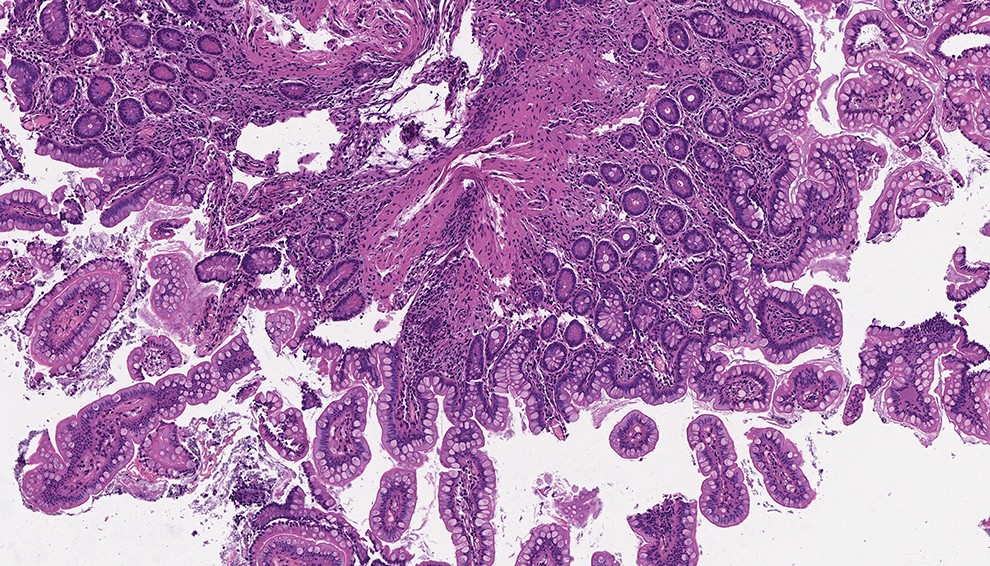
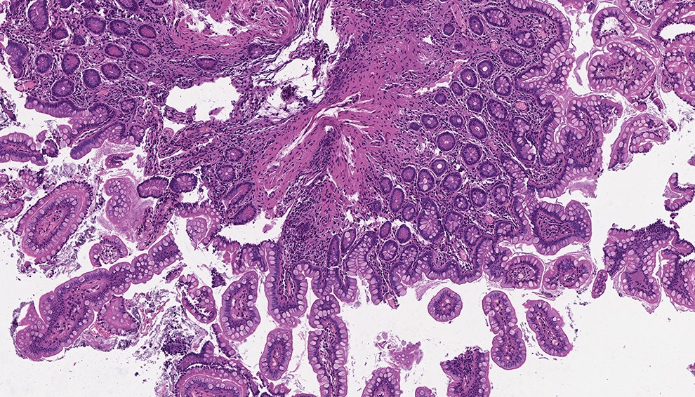
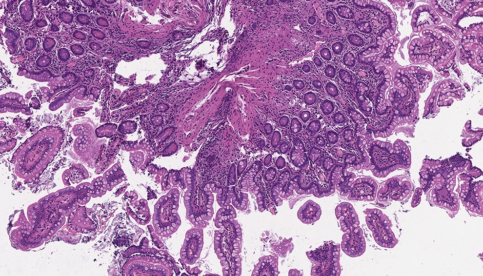
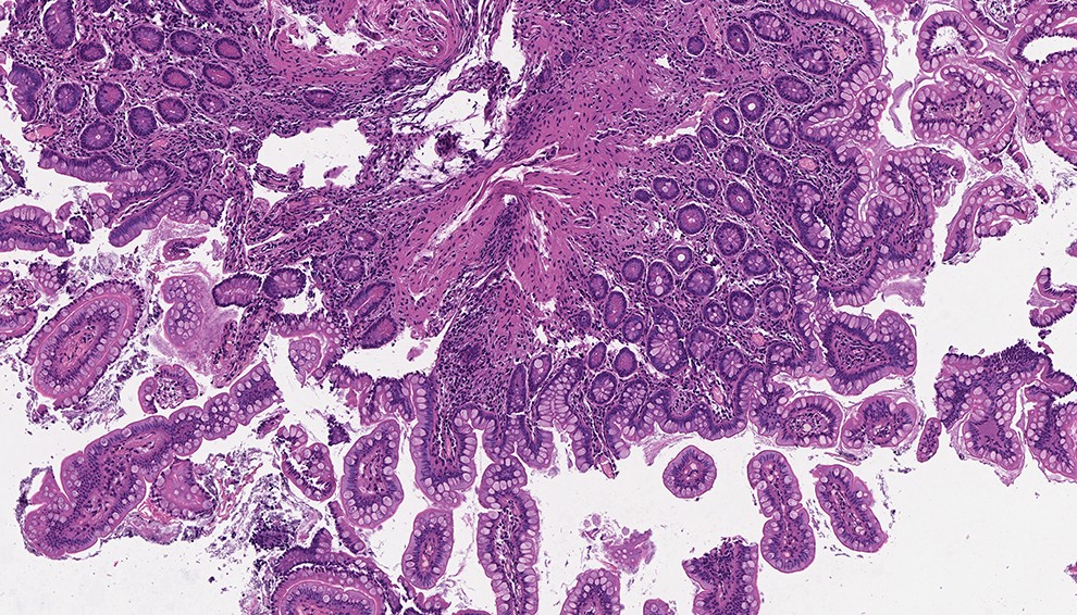
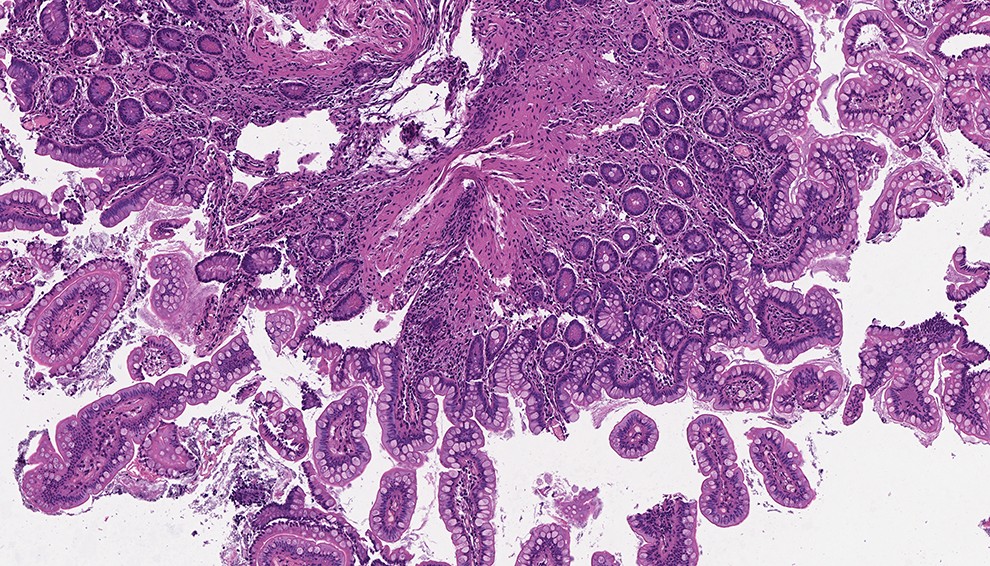
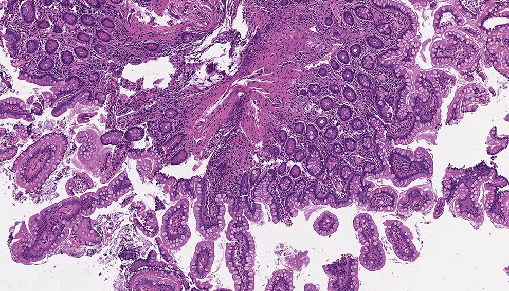
Окончив учебу, Ремез вернулся в Россию, работал менеджером в разных проектах. Сначала они не имели отношения к медицине, но в 2013 году ему предложили работу в проекте по запуску лаборатории Laboratoires De Genie. Она занялась патоморфологическими исследованиями в области диагностики онкологических заболеваний. Такой тип исследований, когда для выявления онкологии срезы тканей окрашиваются химическими веществами гематоксилином и эозином, является обязательным в случае, если врач подозревает наличие раковой опухоли у пациента.
«Меня пригласили еще на этапе запуска, — рассказывает Ремез. — Работа касалась только организационных вопросов, но вскоре стало понятно, что невозможно заниматься бизнес-частью, не разобравшись в предметной области. Так я получил базовые знания в медицине».
Разобравшись в индустрии, Ремез задумал создать технологический сервис, который мог бы обеспечить пациентам со всей страны качественную диагностику: «Было очевидно, что хорошая морфологическая диагностика не всегда доступна не только в регионах, но даже в столице. Отсюда появилась идея использовать современные цифровые технологии».
В 2014 году предприниматель зарегистрировал компанию UNIM. На собственные сбережения заказал разработку простого программного обеспечения и занялся маркетингом, что обошлось ему примерно в 1,5 млн рублей. Созданная программа позволяла не только обрабатывать изображения отсканированных срезов тканей и выгружать их в облако, но и обеспечивать к ним доступ врачей со всего мира для онлайн-консультации и коллегиальной постановки диагнозов в особенно сложных случаях. В 2015 году стартап Ремеза выиграл конкурс «ОнкоБиоМед» и получил статус резидента «Сколково», а потом и грант в 5 млн рублей. Резидентство не предполагало прямых инвестиций в проект, но дало возможность пользоваться всей инфраструктурой технопарка, а также налоговые льготы.
На протяжении двух лет UNIM зарабатывала в основном на продаже ПО различным медицинским лабораториям в России и за рубежом. Клиники платили около 1,5 млн рублей за установку программы или же могли оплачивать диагностику каждого случая по отдельности, это стоило 3000-4000 рублей, а ПО тогда предоставлялось бесплатно.

Сколковский грант стартап потратил на дальнейшую разработку ПО и развитие бизнеса. «Первой трудностью, с которой мы столкнулись, стало внедрение софта в уже существующий процесс диагностики, — говорит основатель UNIM. — Этот вид диагностики существует с конца XIX века, и за это время он почти не изменился. Проблема его модернизации заключалась в том, что врачи использовали потенциал современных технологий лишь на 0,1%».
