Эволюция биосферы: архейская нищета и панспермия

Начать стоит с сообщения о недавнем открытии. Недалеко от Модены экспедицией Лиссабонского университета были найдены следы глубоководных рыб. Только следы – ямки на ныне окаменевшем дне Тетиса и оставленные плавниками борозды. Возраст отложений составил 130 млн. лет. И это значит, что позвоночные начали осваивать глубины на 80 млн. лет ранее, нежели до сих пор считалось.
Что такое «эволюция биосферы»?
Казалось бы, что с того? Умеренно глубоководные – обитающие далее 500 м от поверхности – рыбы появились не в начале палеогена, а еще в начале мелового периода. Но появиться может лишь то, чего до этого не было. Эволюцию обычно представляют как смену более прогрессивными формами жизни менее прогрессивных, однако это только одна из граней процесса. Параллельно с ним идет и другой. Жизнь проникает туда, где до этого отсутствовала. Самым известным примером захвата новых территорий является, разумеется, выход жизни на сушу. Однако это только одно из множества подобных событий в истории Земли. Например, представления об обстоятельствах экспансии – на протяжении мезозоя – живых организмов с прибрежных мелководий на просторы, а затем и в глубины океана дополняет открытие португальских палеонтологов.
И тут кстати вспомнить, что добычей палеонтологов в этот раз стали только ихнофоссилии – окаменевшие следы деятельности организмов, а не отпечатки их тел. Описать новый вид ископаемых рыб по таким следам невозможно. Но именно в контексте проблемы эволюции биосферы на такие детали смысла размениваться нет. Биосфера развивается, порождая тьму новых видов – все более приспособленных. И уместно задать вопрос, в чем это развитие проявляется.
В общем случае, с развитием возрастают масса и эффективность биосферы. Когда-то футурологи предсказывали, что развитую цивилизацию выдаст окружающая звезду и позволяющую полностью использовать ее энергию сфера Дайсона. К тому же к максимальному использованию ресурсов, в том числе и света, только в рамках доступных ей технологий стремится и жизнь. С возрастом биосферы, таким образом, в планетарных масштабах увеличивается биомасса и в каком-то смысле «заселенная площадь».
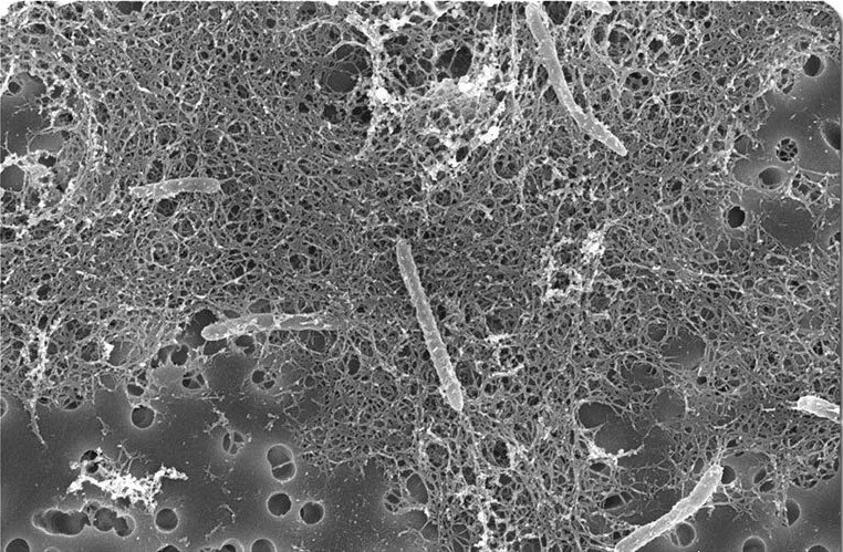
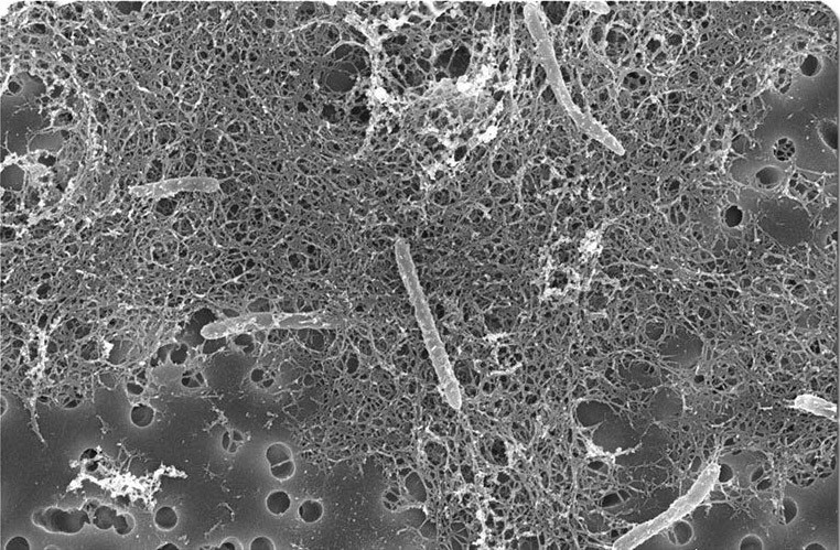
Достигается же увеличение биомассы ростом сложности и приспособленности, причем так, что второе оказывается следствием первого. Ибо под «сложностью» в данном контексте уместно понимать не только появление более прогрессивных форм, но и просто увеличение объема генома. При очевидной, например, простоте устройства одноклеточных, приспособительные механизмы бактерий могут быть сложны до безумия. Биохимия бактерий Desulforudis audaxviator, способных заселять микротрещины до глубины 3 км под землей, нуждающихся только в водороде, а все прочее необходимое им извлекающих путем растворения горных пород, способных выживать изолированно, без сотрудничества с другими организмами, не проще, чем высшая нервная деятельность.
И, разумеется, изощренные изобретения, позволившие жизни проникнуть в глубину коры, были сделаны не сразу. Учитывая, что недра Земли заселяются почвенными бактериями, увлеченными вместе с капельками воды вниз геологическими процессами и успевшими приспособиться благодаря низкой скорости этих процессов, экспансия жизни в литосферу едва ли могла начаться до выхода жизни на сушу. А следовательно, успехи бактерий на данном фронте – по эволюционным меркам – недавние.
Однако к любому вопросу стоит подходить системно, в частности, рассматривая эволюцию биосферы с момента ее появления.

Стадия зарождения
Что касается зарождения жизни на Земле, то тайна его – в деталях как минимум – наукой пока не раскрыта. Важно однако отметить, что само по себе «зарождение» понимается наукой не как событие, а как процесс. Причем геологически длительный, продолжавшийся 100–200 млн. лет. А значит, о «стадии» говорить совершенно уместно.
Подразумевает же эта стадия существование на планете 4,3–4,0 млрд лет назад «РНК-мира», коацерватных капель с повышенной концентрацией коллоидов, кипящих содовых болот – в общем случае, некой среды, в которой еще механизмами эволюции химической происходила наработка условно «живых», способных к автокатализу макромолекул, последующее этих молекул размножение. Но затем и эволюцию уже биологическую, понимаемую пока еще более смутно, – от «муравейников молекул» к чему-то такому, что не стыдно становилось назвать «организмом»…
И с позиций эволюции биосферы, не вдаваясь в детали (здесь почти всегда неизвестные или спорные), достаточно заключить, что на этапе «зарождения» биомасса оставалась нулевой. Даже если бы исследователи, располагающие современными средствами, и перенеслись на катархейскую Землю, ни признаков, ни даже следов жизни они не нашли бы…
Но это – банально.
Важно отметить, что на этапе за рождения, в буквальном аду, каким являлась планета катархейского эона, в незакипающей только из-за высокого давления первичной атмосферы, в ядовитой, перенасыщенной вымываемыми из вулканических пород кислотными дождями солями, в зеленоватой от высокой концентрации оставшейся серной кислоты (в атмосфере сероводород реагировал с водяным паром), в этом климатически-геохимическом ужасе приспособленность жизни также оставалась нулевой. Равно, как можно говорить и о нулевом уровне приспособленности синтетической РНК – в пробирке. Молекулы зарождались и плодили друг друга автокатализом лишь постольку, поскольку в среде присутствовало все необходимое для сборки новых цепочек нуклеотидов.
