Удар, ломающий судьбы

Каждый год 15 миллионов человек переживают инсульт. После эти люди рискуют никогда не вернуться к нормальной жизни: нередко они с трудом управляют конечностями и даже говорят, поэтому нуждаются в реабилитации. Среди факторов риска инсульта выделяют стресс, переработки и курение. В этом материале мы расскажем, почему инсульт настолько опасен и как защитить себя.
Это продолжение проекта «Когда рассеется дым», посвященного концепции снижения вреда от табакокурения, никотину, этическим, биохимическим и антропологическим аспектам практик курения и многому другому. Проект подготовлен при поддержке аффилированных компаний «Филип Моррис Интернэшнл» в России. Мнение авторов статей может не совпадать с позицией компании.
Инсульт — страшный, непредсказуемый убийца. По данным ВОЗ, каждый год от него умирает 5 миллионов человек. А те, кто переносит инсульт и остается жив, страдают от последствий, часто инвалидизирующих. По данным Национальной ассоциации по борьбе с инсультом (НАБИ), 31 процент пациентов, перенесших инсульт, нуждаются в специальном уходе, 20 процентов не могут самостоятельно ходить и лишь 8 процентам удается вернуться к прежней полноценной жизни. Инсульт может отобрать у человека зрение, речь, способность двигаться, серьезно ухудшить умственные способности, запустить эпилепсию. Он также травмирует мозг и поэтому может повлиять на личность; у пациентов, проходящих реабилитацию, нередки депрессии и тревожные расстройства, изменения характера и привычек.
Мало крови, много крови
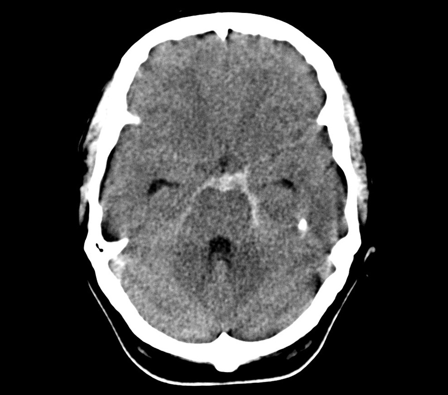
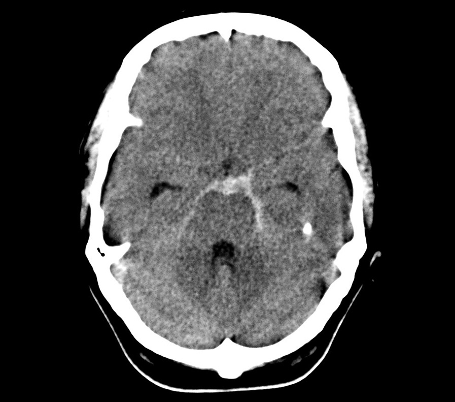
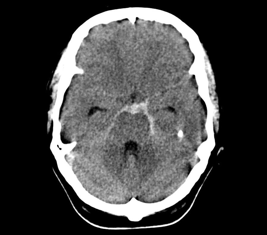
В широком смысле инсульт — это повреждение тканей мозга в результате нарушения кровообращения. По механизму воздействия его принято делить на два типа: ишемический, при котором клетки мозга недополучают крови и отмирают, и геморрагический, когда крови, наоборот, слишком много, она выходит из кровеносных сосудов и заливает часть мозга. В зависимости от места кровоизлияния геморрагический инсульт делят на внутримозговой и субарахноидальный; при последнем кровь попадает в пространство между оболочками мозга, в норме заполненное спинномозговой жидкостью.

Если инсульт уже происходит, задача врачей — восстановить кровоснабжение мозга при ишемическом сценарии или прекратить кровотечение и избавиться от его последствий при геморрагическом инсульте. При ишемии главное — избавиться от тромбов с помощью препаратов. Чем быстрее это будет сделано, тем меньше клеток мозга пострадает от недостатка кислорода и тем ниже риск серьезных осложнений и лучше прогноз. При геморрагическом инсульте медикаментозно снижают давление, чтобы минимизировать количество крови, которое попадет в мозг, а в тяжелых случаях удаляют кровь и останавливают кровотечение хирургическим путем.

Когда острая фаза позади, перед пациентами встает необходимость реабилитации. Часть переживает инсульт почти без последствий или быстро восстанавливается. Так происходит, когда поражение затронуло немногие нейроны и их функции могут быстро взять на себя другие клетки. Но для тех пациентов, у которых погибло много клеток мозга, последствия могут быть очень тяжелыми. Программа реабилитации зависит от того, какие функции повреждены: в нее может входить лечебная гимнастика и физкультура, речевая терапия, обучение и тренировка утраченных навыков.

Не возвращайся никогда
И у тех, кто переживает инсульт без последствий, и у тех, кто встает на путь реабилитации, очень важно предупреждать повторный инцидент: однажды произошедший инсульт — один из главных факторов риска. Повторные инсульты предотвращают, воздействуя на факторы риска. К сожалению, с некоторыми факторами — например, наследственностью или возрастом — поделать ничего нельзя.
