Нейропсихоанализ: что это такое и как он может изменить вашу жизнь

Поначалу может казаться, что нейробиология - невероятно увлекательная наука. Только представьте, вы изучаете мозг - один из самых важных органов человеческого организма, благодаря которому мы в принципе можем что-то изучать. Однако сами нейробиологи часто отмечают, что их работа заключается в анализе объективизированных данных, которые бывают скучны. Поэтому южноафриканский психоаналитик Марк Солмс решил создать новую теорию сознания в русле этого направления. О ней мы и расскажем.
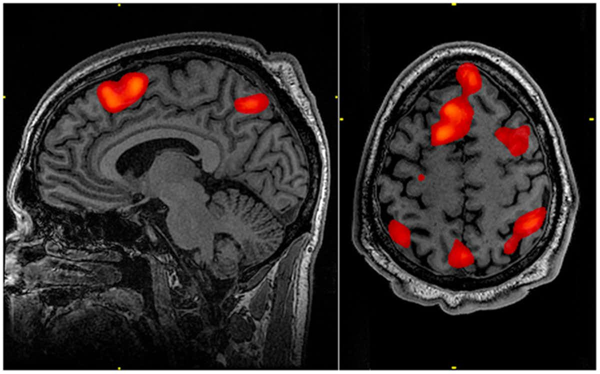
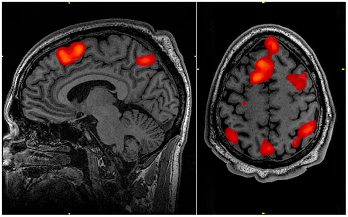
Одним из базовых инструментов нейробиологов является функциональная магнитно-резонансная томография (фМРТ) - это метод исследования, который позволяет измерять нейронную активность головного или спинного мозга. Однако снимки фМРТ чаще всего выглядят довольно скучно, так как они, конечно, показывают, что происходит в мозге, но не могут передать, что при этом чувствует живое существо. И даже сами нейробиологи не испытывают особого восторга от такого подхода.

В этой связи у южноафриканского психоаналитика Марка Солмса возникла мысль о создании новой теории сознания, которая позволила бы объединить нейробиологию и психоанализ Зигмунда Фрейда. В своей книге «Скрытый источник» ученый пытается объединить эти направления, предлагая ввести новый подход - нейропсихоанализ.
Что такое нейропсихоанализ
Нейропсихоанализ исследует нейробиологические основы человеческого поведения и опыта, связывая мозговую деятельность с психоаналитической моделью сознания. То есть, по Фрейду, психоанализу можно подвергнуть что угодно: будь то произведения искусства, неврозы вашего лучшего друга или архитектура небоскребов. И такого рода универсальность является слабым местом психоанализа как науки. И основная задача нейропсихоанализа как раз заключается в том, чтобы сделать классический психоанализ более "приземленным", более естественнонаучным.
