Тихая пандемия
Почему целоваться опасно и кто такие Эпштейн и Барр
В крови 90 процентов взрослых людей на Земле, считают ученые, есть антитела к вирусу Эпштейна — Барр. При этом большинство из них даже не догадываются о когда-то перенесенной инфекции. Вирус открыли в середине прошлого века, проверяя фантастическую для того времени гипотезу, что онкология у детей в Уганде может быть следствием плохой гигиены или комариных укусов. Хорошего ответа на вопрос о том, почему возможный возбудитель лимфомы живет практически в каждом из нас, хотя и мало кому угрожает реальными проблемами — нет. Редакция N + 1 разбирается, стоит ли бежать сдавать анализ на антитела к вирусу и бояться развития всех связанных с ним заболеваний.
Пояс «звездного неба»
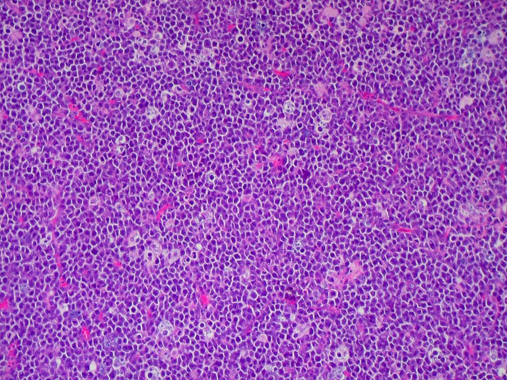
В 1961 году британский хирург Дэнис Беркитт, живущий и практикующий в Кении, приехал в Лондон, чтобы немного развеяться и заодно прочесть пару лекций студентам и коллегам, которые любили послушать рассказы Беркитта о специфике его работы на африканском континенте. В этот раз его выступление было посвящено тому, почему он собирается в ближайшее время отправиться в трехмесячное путешествие длиной десять тысяч миль через шесть африканских стран. На это предприятие, которое позже войдет в историю медицины как «долгое сафари», врача сподвигло то, что вот уже несколько лет он сталкивался с похожими случаями челюстных и брюшных опухолей у детей в своем госпитале. К 61-му году Беркитт описал уже 38 случаев заболевания детей в возрасте до 7 лет и нескольких взрослых. Все они на гистологии напоминали «звездное небо»: среди мелких лимфоцитоподобных клеток разбросаны крупные, со светлой цитоплазмой макрофаги.

У болезни была еще одна необычная особенность: ее случаи имели географическую локализацию. Беркитт заметил, что детей с типичными опухолями челюсти в его госпиталь чаще привозили с севера и востока Уганды, чем из более населенных южных и западных регионов страны, а списавшись с примерно тысячей (!) других африканских больниц он выяснил, что подобные случаи известны для тропической Африки, но не встречаются на юге и севере континента. Нанеся по итогам этого исследования на карту «опухолевый пояс», врач собирался оставшуюся после Лондона часть своего отпуска провести в дороге по госпиталям, которые в этом поясе находились.
В аудитории, набитой в основном студентами-медиками, сидел вирусолог Майкл Эпштейн, которого заинтриговало название лекции заезжего врача. Уже к десятой минуте он понял, что ему следует отложить все те исследования, которыми он занимался до того, и переключиться на лимфому Беркитта (в скором времени это имя станет официальным названием). Картина, которую описывал докладчик, явно говорила Эпштейну о том, что тот столкнулся с вирусной инфекцией, несмотря на то, что онкологические заболевания подобного происхождения были в те годы никому не известны. После лекции ученых представили друг другу и они быстро договорились о сотрудничестве. Беркитт поехал в Африку и, не откладывая, уже из своего «сафари» начал отправлять Эпштейну в Лондон образцы опухолей.

Предание гласит, что Эпштейн увидел искомое на первом же снимке клетки опухоли, который сделал при помощи электронного микроскопа, и сразу же понял, что смотрит на герпес. Так было, по его мнению, было совершено сразу два открытия: во-первых, в семействе герпесовирусов прибыло (ВЭБ стал на тот момент четвертым известным типом) — а во-вторых получено свидетельство тому, что вирусы могут вызывать развитие опухолей.
Естественно, когда группа Эпштейна опубликовала свою статью, в реальность их открытий никто не поверил. Идея вирусного происхождения опухолей была для научного сообщества в новинку и потому вызывала подозрения. Кроме того, вирус содержался примерно в одном проценте клеток опухоли — и потому проще было думать, что он там случайный гость, обычная контаминация, а не реальная причина лимфомы Беркитта.
Эпштейну потребовалось еще несколько лет на то, чтобы научиться выделять вирус из клеток и успешно заражать им другие, а затем еще какое-то время, чтобы убедить коллег воспроизвести его результат. Британские вирусологи участвовать в странном, на их взгляд, предприятии Эпштейна отказались. На помощь Эпштейну пришли друзья, американцы Вернер и Гертруда Хенли — ученый отправил образцы полученных им клеточных линий в Филадельфию, и те вскоре подтвердили, что имеют дело с новым типом герпесвируса, потому что тесты на три известных тогда типа дали негативный результат. Тогда же вирус получил имя Эпштейна — Барр: вторая фамилия принадлежит аспирантке Эпштейна, вместе с которой тот изобрел способ культивации клеток опухолей, что присылал в Лондон Беркитт.

Выглядит вирусная частица, как сфера диаметром от 150 до 200 нанометров с шипами одиннадцати типов на оболочке, которые необходимы вирусу для прикрепления к клетке. Сейчас мы уже знаем, что вирус проникает в Т- и В-лимфоциты, клетки иммунной системы, причем последние он поражает чаще: все клинические проявления инфекции связаны именно со случаями заражения В-лимфоцитов. Забравшись в свою жертву, вирус начинает там размножаться, а кроме того заставляет инфицированные клетки делиться — это его принципиальная особенность, так как большинство вирусов обычно просто подчиняют всю внутреннюю машинерию зараженных клеток делу производства новых вирусов, и делиться им не дают.
