Эозинофилы: что это такое и зачем нужны
Что общего у аллергии, паразитов и скарлатины? От всех этих болезней наш организм защищают клетки крови эозинофилы. Анализ их уровня может выявить у человека многие болезни. Рассказываем, что нужно знать об эозинофилах

Эозинофилы — одна из разновидностей защитных клеток нашего организма. Они нужны прежде всего для того, чтобы защищать тело от некоторых болезней, инфекций и паразитов. Но если эозинофилов вырабатывается слишком много, они сами начинают атаковать здоровые ткани и превращаются в угрозу для организма.
Что такое эозинофилы

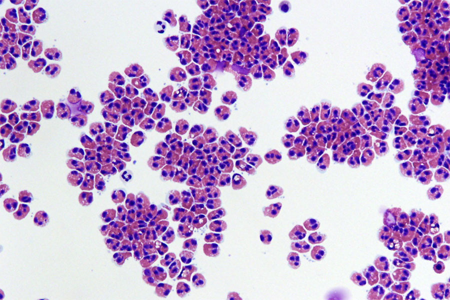
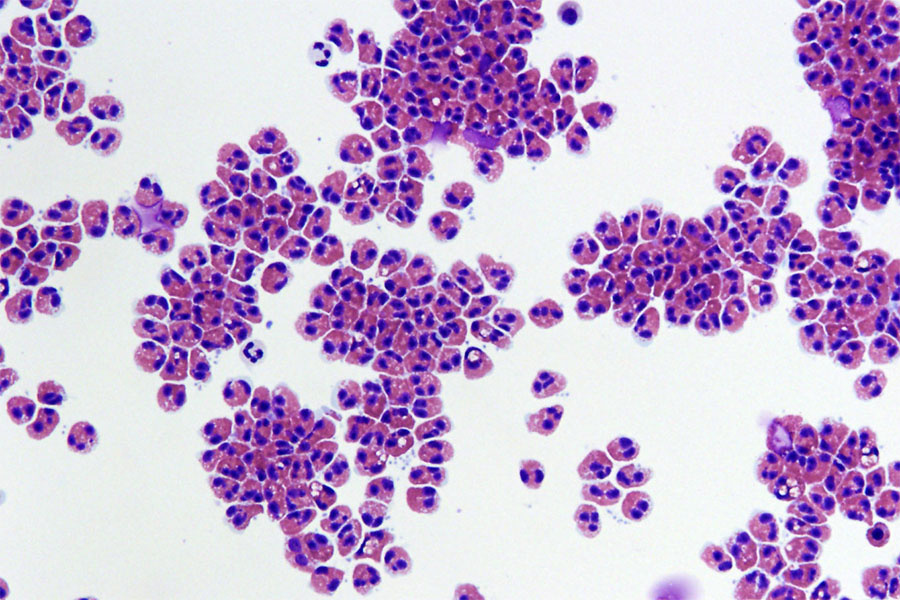
Эозинофилы — это одна из пяти разновидностей лейкоцитов, или белых кровяных телец. Они отвечают за борьбу с паразитами и бактериями, поэтому увеличение их количества в крови используют как диагностический критерий ряда заболеваний. Кроме того, эти клетки реагируют на аллергены.
Эозинофилы производятся в костном мозге, а затем доставляются в кровь. Они выполняют сразу несколько функций:
- борются с чужеродными организмами — бактериями и паразитами;
- убивают чужеродные клетки;
- участвуют в некоторых аллергических реакциях;
- играют роль в воспалительных процессах, важных для изоляции и контроля очага заболевания.
Эозинофилы содержат гранулы, в которых находятся главный основной протеин и эозинофильный катионный протеин — токсины, которыми можно атаковать и клетки собственного организма, и паразитов.
Ольга Губкина, врач-гематолог «СМ-Клиники», к.м.н
При попадании в организм аллергена, паразита и т.д., эозинофилы получают сигнал от пораженных тканей, и из русла крови устремляются в просветы внутренних органов и тканей. В это время в периферической крови может возникнуть временное снижение их количества. Но не вся их популяция участвует в этом процессе. Это зависит от количества поступившего антигена. Часть эозинофилов высвобождает содержимое своих гранул в окружающее пространство и стимулирует ответ других местных клеток. Часть эозинофилов участвует в слабом фагоцитозе (поглощении) клеток. Часть прикрепляется к паразитам и вводит содержимое гранул в их цитоплазму. В целом, ограничение очага воспаления и уничтожение аллергена — это комплекс слаженных действий клеток крови, в том числе и эозинофилов, взаимодействующих между собой. При высоких затратах эозинофилов костный мозг получает сигнал с периферии и выбрасывает новую популяцию клеток.
