БИНТИ
Бюро иностранной научно-технической информации
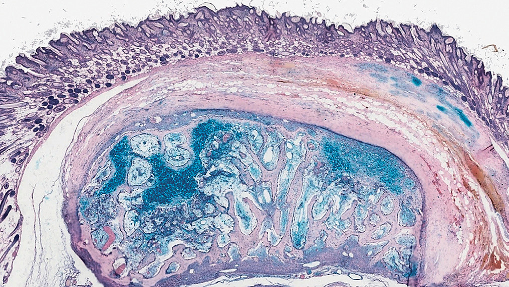
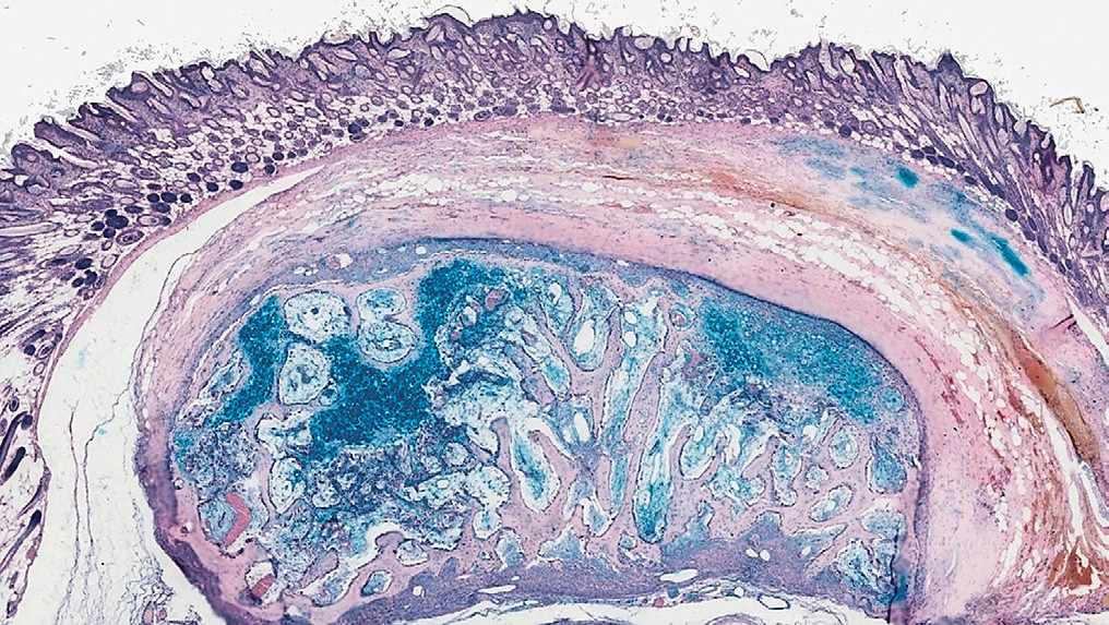
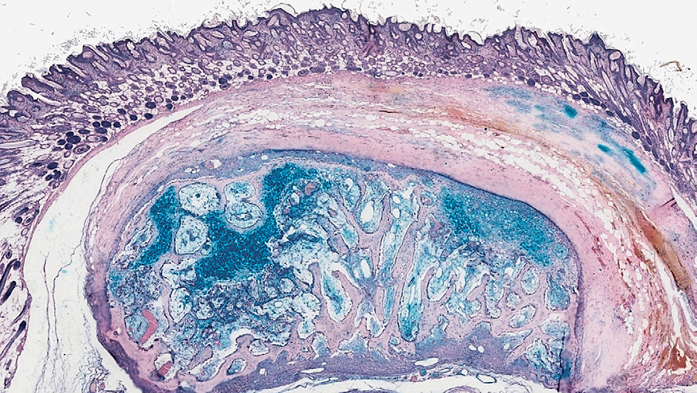
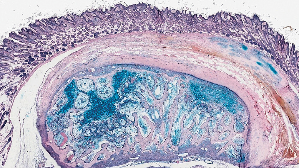
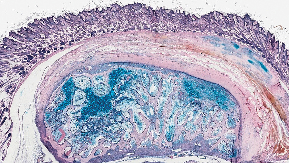
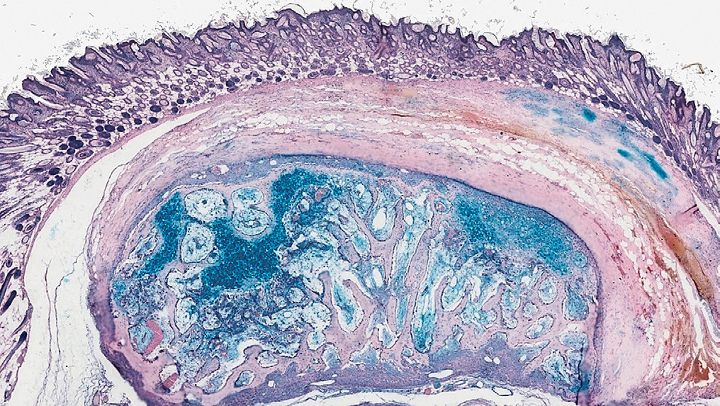
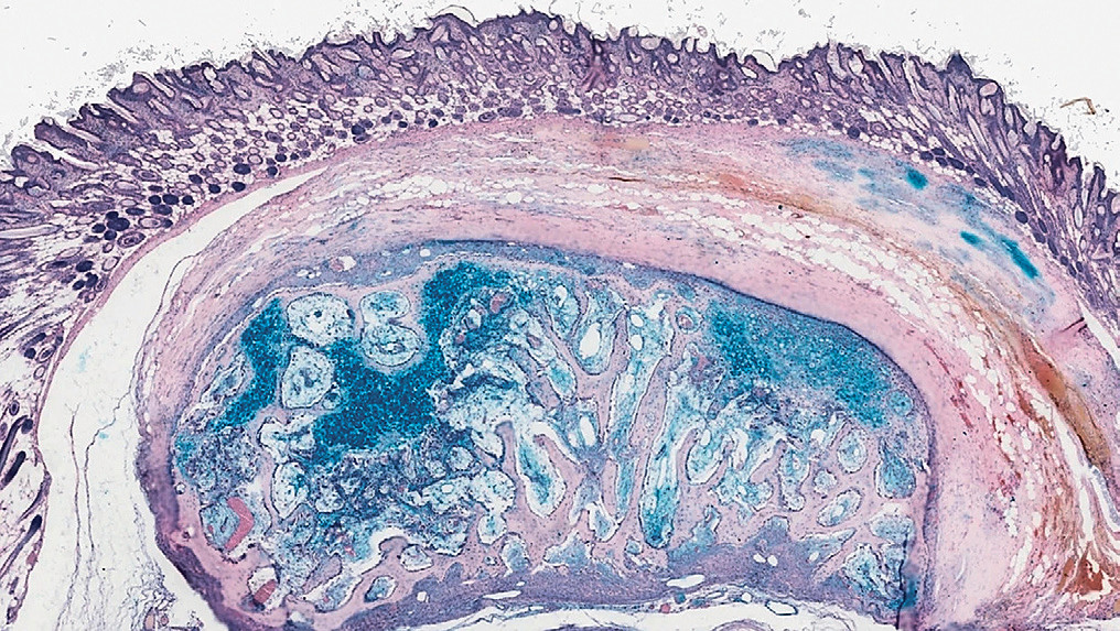
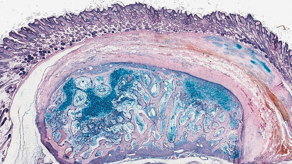
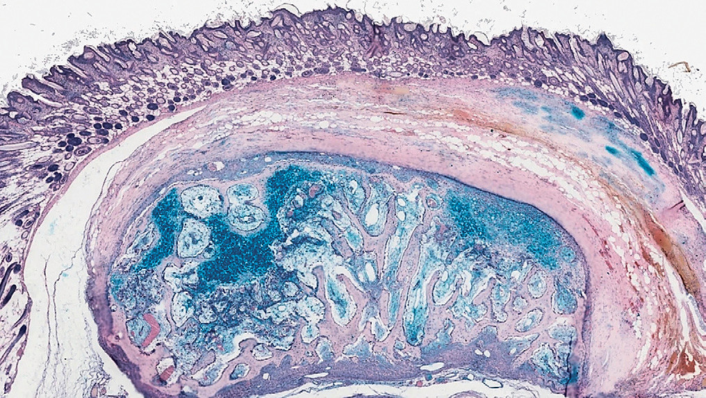
Мышь с рогами?
Генетики из Северо-Западного политехнического университета в Сиане (КНР), изучив 75 000 клеток из основания рогов пятнистого оленя Cervus nippon, выделили клетки, служащие зачатком новых рогов. Олень сбрасывает рога раз в год, в апреле, и уже через несколько недель появляются новые. Но скрытые процессы возникают много раньше. Через пять дней после утраты старых рогов в оставшихся на их месте бугорках обнаруживается особый тип стволовых клеток, которые ещё через пять дней станут давать костные и хрящевые клетки рогов. Китайские экспериментаторы пересадили эти зачатки под кожу головы мыши, и через 45 дней они начали рост рогов в этом необычном окружении. Как полагают авторы исследования, такие опыты могут привести к новым способам регенерации костей и хряща у человека. На микрофотографии — срез «рога», выросшего на голове мыши.

Живите среди зелени
Исследователи из Северо-Западного университета в Чикаго (США) на протяжении 20 лет следили за состоянием здоровья более 900 человек в четырёх городах США. Сопоставление данных о здоровье испытуемых со сведениями о том, насколько озеленён район их проживания, выявило, что жизнь в домах, площадь вокруг которых в радиусе 5 км занята на 30% зеленью, делает их обитателей в среднем на 2,5 года моложе календарного возраста. Это определено по состоянию сердца, мозга, кровеносных сосудов и по психологическим показателям.
На снимке — участок парка в Сан-Франциско. Зелёные пространства составляют здесь 13% площади города (но мировой рекорд принадлежит Осло: там этот показатель достиг 68%).

Удар по астероиду
В сентябре 2022 года космический аппарат DART (аббревиатура расшифровывается как Double Asteroid Redirection Test, что означает «Эксперимент по изменению траектории двойного астероида») массой 610 кг врезался в астероид Диморф, точнее, в его меньшую часть. Диморф состоит из двух астероидов — Дидима (поперечник около 800 м) и его небольшого спутника размером 6,5 м. В это меньшее тело и врезался снаряд с Земли, разбившись на мелкие осколки. При этом пострадал и астероид, удар выбросил с него не менее миллиона килограммов пыли и камешков. Самая мелкая пыль образовала два «хвоста» типа кометных, которые за 18 последующих дней рассеялись. Из-за удара небольшой астероид немного изменил свою орбиту, и это надо считать успехом эксперимента, целью которого было доказать, что снарядом с Земли можно отклонить небольшое небесное тело, если оно будет угрожать попаданием в нашу планету.
