Частичное репрограммирование позволило частично снизить биологический возраст мышей

Генетики и геронтологи проверили, как сказывается на здоровых мышах частичное репрограммирование — метод, в ходе которого все клетки их тела «сдвигают» немного ближе к стволовым. Выяснилось, что такая терапия довольно безопасна и снижает эпигенетический возраст отдельных клеток. Правда, она оказывает влияние только в долгосрочной перспективе — и не на все ткани организма. Работа опубликована в журнале Nature Aging.
В 2020 году стало известно, что Джефф Безос и Юрий Мильнер вложились в Altos Labs — новый стартап в области продления жизни. Эта компания сделала ставку на технологию репрограммирования, которая, по некоторым догадкам, теоретически может не только остановить старение, но и сделать уже состарившиеся клетки моложе. Подробно мы об этом писали в материале «Планы на старость». Если коротко, то суть этого метода в том, что в клетках нужно запустить работу нескольких транскрипционных факторов (факторов Яманаки) — а те, в свою очередь, запускают переупаковку клеточной ДНК. В результате больше генов становятся доступными для считывания, а клетка в целом становится моложе (то есть по своим возможностям и работе генов скорее напоминает клетки молодого организма).
В предельном варианте такое репрограммирование превращает любую взрослую клетку в эмбриональную стволовую, лишенную специализации. Но в целях продления жизни ученые рассчитывают использовать метод частичного репрограммирования — то есть запускать работу факторов Яманаки на короткое время, чтобы лишь немного снижать клеточный возраст.
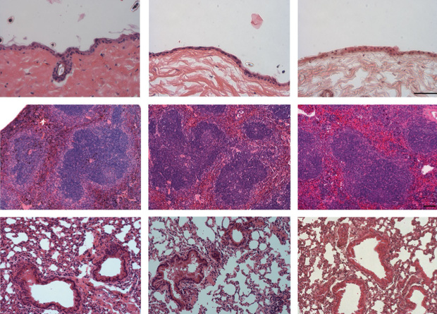
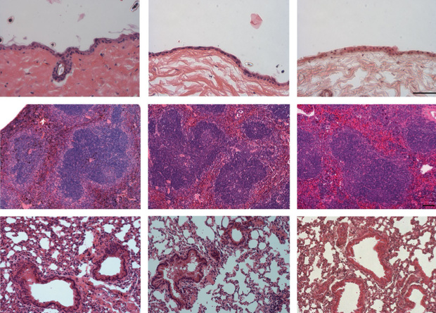
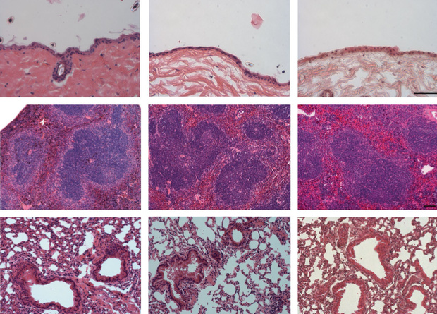
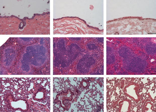
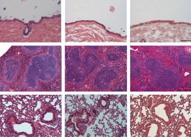
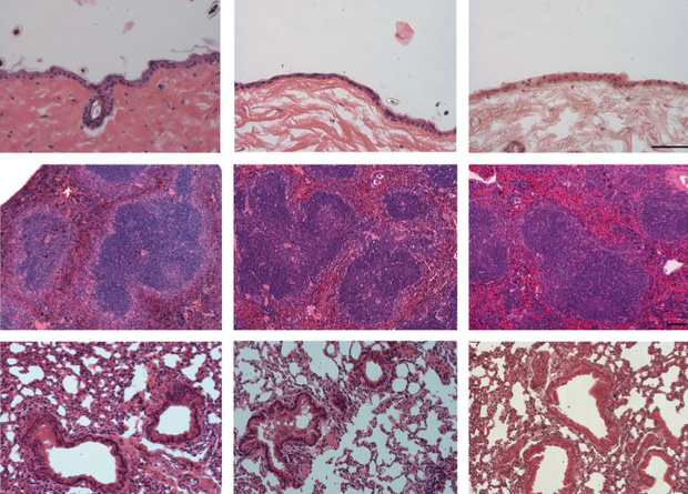
Для этого несколько групп исследователей, в том числе коллектив Хуана Карлоса Исписуа Бельмонте (Juan Carlos Izpisua Belmonte), профессора института Солка, создали генно-модифицированных мышей. В их геном был встроен регуляторный участок, который начинал работать в присутствии лекарства доксициклина и запускал экспрессию факторов Яманаки. Группа Бельмонте заставила таких мышей стареть ускоренно — и показала, что давая им доксициклин небольшими курсами, можно продлить им жизнь.
